Beispielverläufe Knochenbrüche

Beispielverläufe Knochenbrüche



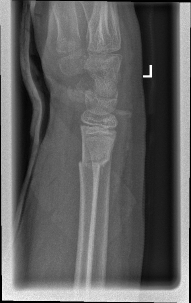
Fall 1

  • Alter: 11 Jahre
  • Geschlecht: männlich
  • Knochenbruch-Lokalisation: Arm (Unterarm / Radius/ metaphysär/ quer)
Tag 12
Tag 26
Monat 12
Tag 12 Tag 26 Monat 12



Fall 2

  • Alter: 8 Jahre
  • Geschlecht: weiblich
  • Knochenbruch-Lokalisation: Arm (Unterarm / Radius/ diametaphysär)
Tag 0
Woche 4
Monat 22



Fall 3

  • Alter: 8 Jahre
  • Geschlecht: weiblich
  • Knochenbruch-Lokalisation: Arm (Ellenbogen / Supracondyläre Humerusfraktur Typ 4)
Tag 0
Tag 1
Jahr 7



Fall 4

  • Alter: 5 Jahre
  • Geschlecht: männlich
  • Knochenbruch-Lokalisation: Arm (Unterarm / Radius/ metaphysär/ quer)
Tag 0
Woche 4
Monat 13



Fall 5

  • Alter: 20 Monate
  • Geschlecht: weiblich
  • Knochenbruch-Lokalisation: Bein (Oberschenkel)
Tag 0
Woche 3
Monat 6



Fall 6

  • Alter: 14 Jahre
  • Geschlecht: weiblich
  • Knochenbruch-Lokalisation: Obere Extremität (Clavicula)
Tag 0
Jahr 3



Fall 7

  • Alter: 2 Jahre
  • Geschlecht: männlich
  • Knochenbruch-Lokalisation: Bein (Oberschenkel)
Tag 0
Woche 4
Woche 4a
Monat 6
Monat 6a
Tag0 Woche4 Woche4a Monat6 Monat6a



Traumatologie Verbrennungen / Verbrühungen